My sisters 67th birthday was on Saturday 12th and I tried to contact her but as usual got no reply.
Angie and I had arranged to go for a walk with Matt and Tor in Thetford Forest. We took the dogs and it was pleasant with a go on a huge tube slide.
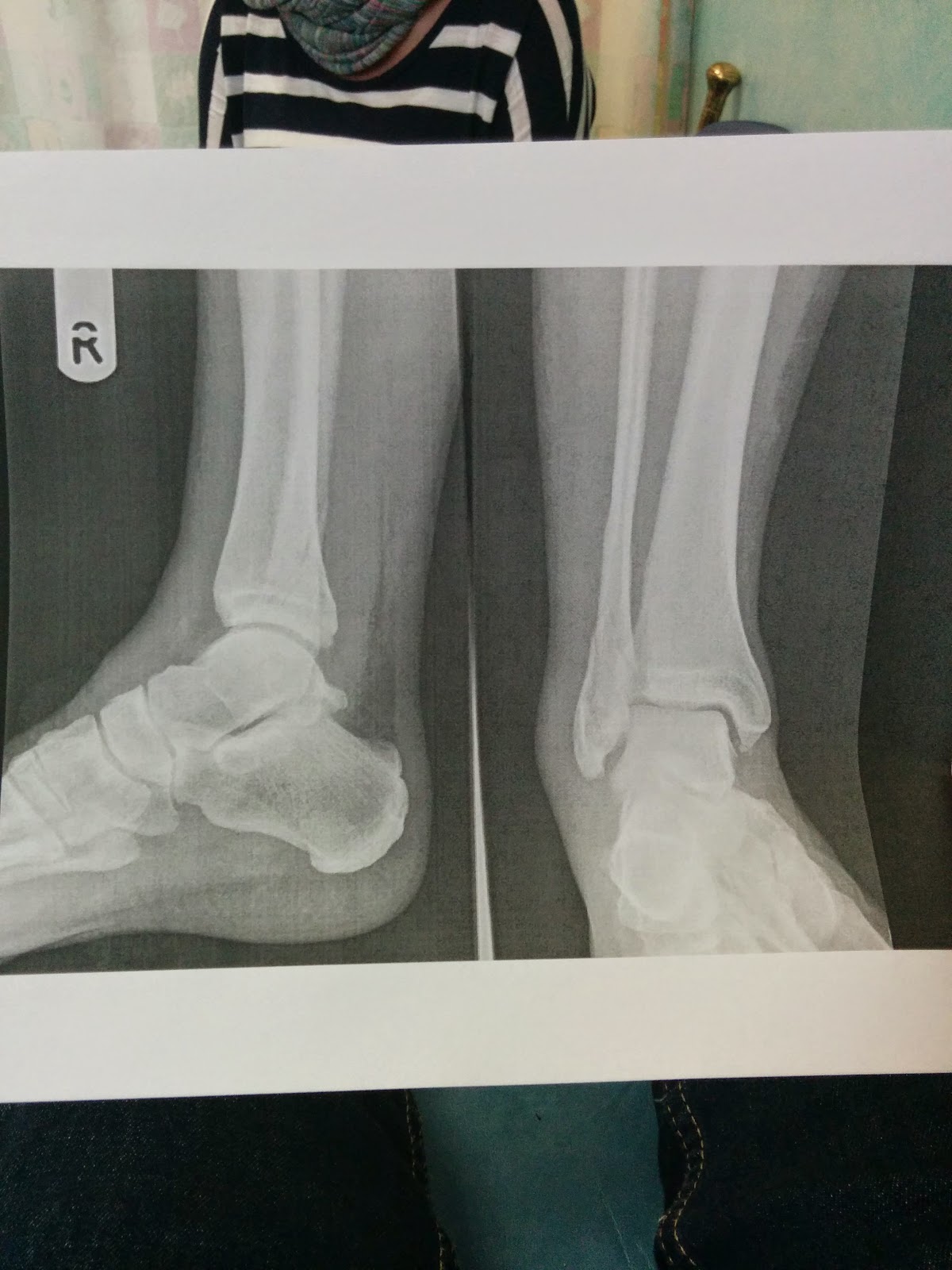
After the walk Tor and I went on a big swing and I had a bad break and broke my ankle. Problem was I didn’t realise it until later when Angie took me to the hospital.
Not a good end to the day.


